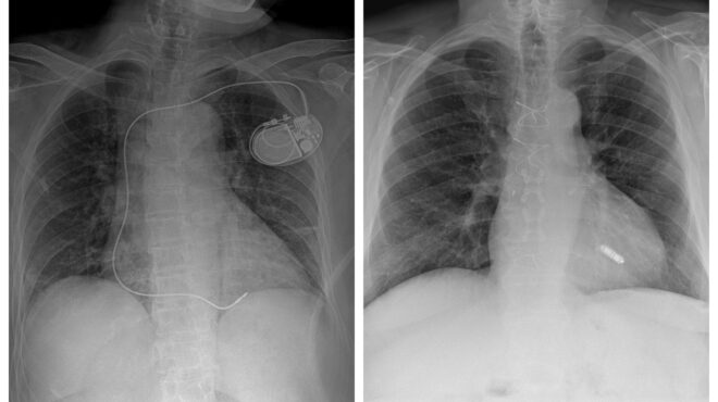
Τι πρέπει να γνωρίζετε για τις ανακλήσεις καρδιακών συσκευών
Τρεις δοκιμασίες δύναμης
Οι παρακάτω δοκιμασίες εκτιμούν τη μυϊκή σας δύναμη και υποδεικνύουν σε ποια σημεία χρειάζεται να βελτιωθείτε.
Μια συχνά σιωπηλή ηπατική νόσος που απειλεί την καρδιά
Η παχυσαρκία και οι σχετιζόμενες επιπλοκές καθιστούν τα άτομα ευάλωτα σε αυτή την πάθηση, η οποία είναι γνωστή ως στεατική ηπατική νόσος σχετιζόμενη με μεταβολική δυσλειτουργία.
Δημιουργήστε στο σπίτι σας έναν χώρο γυμναστικής προσαρμοσμένο στις ανάγκες σας
Η εύκολη πρόσβαση στον σωστό εξοπλισμό και στις σωστές συμβουλές μπορεί να σας βοηθήσει να επιτύχετε τους στόχους της καθημερινής άσκησης.
HARVARD
Υπνική άπνοια και καρδιοπάθεια: ένα σημαντικό θέμα
Σε ορισμένα άτομα, τα φάρμακα κατά της παχυσαρκίας μπορεί να βελτιώσουν ή ακόμη και να θεραπεύσουν την υπνική άπνοια, μια διαταραχή της αναπνοής η οποία συνδέεται στενά με καρδιαγγειακά προβλήματα.
Τι περιλαμβάνει πραγματικά η βλεφαροπλαστική;
Τα αποτελέσματα διαρκούν 10 με 15 χρόνια και θα μπορείτε κυριολεκτικά να κοιτάζεστε στον καθρέφτη και να βλέπετε βελτίωση.
Πώς να διατυπώνετε ιατρικές ερωτήσεις που σας προκαλούν αμηχανία
Μπορεί να αποφεύγετε να έρθετε σε αυτή τη θέση, αλλά ξεπερνώντας την αμηχανία σας μπορείτε να λάβετε τη βοήθεια που χρειάζεστε.
Προκαλούνται κάποια περιστατικά νόσου Αλτσχάιμερ από λοίμωξη;
Είναι πιθανό και, αν ισχύει, υπάρχουν τρόποι να προστατευτείτε.
9 τρόποι για να αποφύγετε φέτος τον χειμώνα το τμήμα επειγόντων περιστατικών
Αναγνωρίζοντας τους εποχικούς κινδύνους και λαμβάνοντας μέτρα αποφυγής τους, θα μείνετε ασφαλείς.
Η τοξική παραγωγικότητα και πώς υπονομεύει την ευημερία σας
Μάθετε πώς να καταπολεμήσετε την ψυχαναγκαστική παρόρμηση για παραγωγικότητα.
Λάθη στον έλεγχο του άσθματος που κόβουν την αναπνοή
Με την άφιξη του χειμώνα, ορισμένοι εκλυτικοί παράγοντες γίνονται πιο επίμονοι. Για να αποτρέψετε τις επικίνδυνες εξάρσεις, θα πρέπει να δράσετε προληπτικά.
∆ιαφορές της φλεγμονώδους νόσου του εντέρου στα δύο φύλα
Η ΦΝΕ δημιουργεί ξεχωριστές προκλήσεις στις γυναίκες.
Θεραπείες για τον καρκίνο του προστάτη: Τι χρειάζεται να γνωρίζετε
Oλες συνοδεύονται από κινδύνους για παρενέργειες. Διαβάστε τις πιο κοινές, κάτι που θα σας βοηθήσει να λάβετε τις αποφάσεις σας.
Οι τελευταίες εξελίξεις σχετικά με τη μακρά COVID
Τι γνωρίζουμε (και τι δεν γνωρίζουμε ακόμα).
Ποια αρτηριακή πίεση είναι φυσιολογική;
Ο ορισμός της φυσιολογικής, αυξημένης και υψηλής αρτηριακής πίεσης έχει αναθεωρηθεί από τις κατευθυντήριες οδηγίες. Oμως, ποια είναι η κατάλληλη τιμή για εσάς;