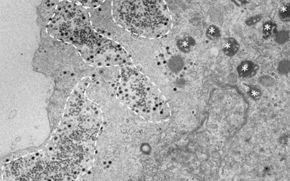
Έναν νέο μυστηριώδη ιό, με άγνωστα γονίδια, ανακάλυψαν επιστήμονες βιολόγοι σε τεχνητή λίμνη της Βραζιλίας.
Οι ιοί είναι από τις μικρότερες μορφές ζωής και ακόμα η επιστημονική κοινότητα δεν έχει καταλήξει ομόφωνα για το αν είναι πραγματικά μορφή ζωής ή όχι, καθώς δεν μπορούν να ζήσουν ή να αναπαραχθούν έξω από έναν ξενιστή οργανισμό.
Σύμφωνα με τον Independent, o νέος ιός συλλέχθηκε από μία αμοιβάδα και ονομάστηκε Yaravirus από τη «Yara», γνωστή και ως «Iara» η οποία είναι η «μητέρα των νερών» και αντιπροσωπεύει μία όμορφη γοργόνα στη βραζιλιάνικη μυθολογία, η οποία δελεάζει τους ναυτικούς για να ζήσουν για πάντα μαζί της.
Ο νέος ιός ήταν σημαντικά μικρότερος από τους ιούς που συνήθως μολύνουν τις αμοιβάδες.
Όταν οι επιστήμονες προσπάθησαν να αποκωδικοποιήσουν το DNA του, διαπίστωσαν πάνω από το 90% των γονιδίων του δεν είχαν βρεθεί σε καμία προηγούμενη έρευνα.
Scientists discover mysterious virus with no recognisable genes https://t.co/8rRBAb4Svc
— The Independent (@Independent) February 9, 2020
«Ανακοινώνουμε την ανακάλυψη του Yaravirus, μιας νέας γενιάς ιού αμοιβάδας με μια αινιγματική προέλευση» δήλωσαν οι βιολόγοι που εξέτασαν τον ιό, στην επιστημονική ιστοσελίδα bioRxiv.
Σύμφωνα πάντως με τον Τζόνατας Αμπραχάο, ιολόγο στο Ομοσπονδιακό Πανεπιστήμιο του Minas Gerais στη Βραζιλία, τα αποτελέσματα της νέας ανακάλυψη είναι ενδεικτικά για το πόσο ακόμη χρειάζεται να καταλάβουμε για τους ιούς.

