Η Ταϊλάνδη γνωστοποίησε τον εντοπισμό κρούσματος της mpox στο έδαφός της, σημειώνοντας ότι οι Αρχές δεν έχουν ακόμη επιβεβαιώσει αν πρόκειται για το στέλεχος clade 1b, για το οποίο ο Παγκόσμιος Οργανισμός Υγείας (ΠΟΥ) κήρυξε επείγουσα κατάσταση δημόσιας υγείας με διεθνές ενδιαφέρον.
Ο ασθενής είναι Ευρωπαίος που έφτασε χθες, Τρίτη, στην Ταϊλάνδη προερχόμενος από αφρικανική χώρα, δήλωσε στο AFP ο Θονγκτσάι Κιρατιχατάιακορ, ο διευθυντής της υπηρεσίας του βασιλείου για τον έλεγχο των ασθενειών.
Εργαστηριακές αναλύσεις βρίσκονται σε εξέλιξη για να επιβεβαιωθεί το στέλεχος, αλλά οι Αρχές πιστεύουν ότι πρόκειται για το clade 1b.
Ο ασθενής, ο οποίος τέθηκε σε καραντίνα σε νοσοκομείο, «υπεβλήθη σε εξετάσεις και δεν πρόκειται για το στέλεχος clade 2», που είναι παλαιότερο, διευκρίνισε ο αξιωματούχος στο AFP.
«Είμαστε πεπεισμένοι ότι πρόκειται για την παραλλαγή clade 1, αλλά οφείλουμε να περιμένουμε το οριστικό αποτέλεσμα των εργαστηρίων σε δύο ημέρες», πρόσθεσε.
Η επανεμφάνιση της mpox στη Λαϊκή Δημοκρατία του Κονγκό (ΛΔ Κονγκό), αλλά και στο Μπουρούντι, στην Κένυα, τη Ρουάντα και την Ουγκάντα ώθησε τον Παγκόσμιο Οργανισμό Υγείας να κηρύξει επείγουσα κατάσταση δημόσιας υγείας με διεθνές ενδιαφέρον, το υψηλότερο επίπεδο συναγερμού.
Το στέλεχος clade 1, που ευθύνεται για την τρέχουσα επιδημία στην Αφρική, έχει αναφερόμενη θνητότητα 3,6% και είναι ιδιαίτερα επικίνδυνο για τα παιδιά, σύμφωνα με τον ΠΟΥ.
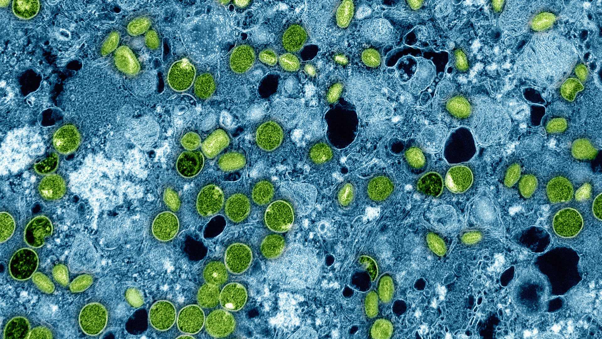
Η mpox μεταδίδεται από τα ζώα στον άνθρωπο, αλλά και μέσω στενής σωματικής επαφής. Η ασθένεια προκαλεί πυρετό, μυϊκούς πόνους και δερματικές βλάβες.
Ο ιός της mpox, που ήταν παλαιότερα γνωστή ως ευλογιά των πιθήκων, ανακαλύφθηκε το 1958 στη Δανία, σε πιθήκους που είχαν εκτραφεί για έρευνα.
Η Λαϊκή Δημοκρατία του Κονγκό έχει καταγράψει τουλάχιστον 16.000 κρούσματα, εκ των οποίων 548 θανατηφόρα.
Η Σουηδία είναι η πρώτη χώρα εκτός Αφρικής η οποία κατέγραψε κρούσμα του στελέχους clade 1b, στις 15 Αυγούστου.
Στην Ασία, το Πακιστάν και οι Φιλιππίνες έχουν επίσης καταγράψει ένα κρούσμα mpox, την περασμένη Παρασκευή και προχθές, Δευτέρα, αντίστοιχα.
Το Πακιστάν ανακοίνωσε τη Δευτέρα σχετικά με το κρούσμα mpox που εντοπίστηκε στη χώρα την περασμένη εβδομάδα ότι επρόκειτο για το στέλεχος clade 2b.
«Επί του παρόντος η τρέχουσα επιδημία στη Λαϊκή Δημοκρατία του Κονγκό συνδέεται κυρίως με το clade 1b. Να σημειωθεί ότι έως σήμερα κανένα κρούσμα του clade 1b δεν έχει αναφερθεί στο Πακιστάν», ανακοίνωσε προχθές το υπουργείο Υγείας της χώρας.

