Το πρωί του Σαββάτου, ο Δρ. Ακσέι Νάιρ, χειρουργός με έδρα τη Μουμπάι, ήταν σε αναμονή για να χειρουργήσει μια 25χρονη γυναίκα, η οποία είχε αναρρώσει από Covid μόλις πριν τρεις εβδομάδες.
Μέσα στο χειρουργείο, ένας ωτορινολαρυγγολόγος είχε ήδη αναλάβει την ασθενή, η οποία έχει διαβήτη. Τοποθέτησε έναν σωλήνα στη μύτη της και αφαιρούσε ιστούς με βλεννομυκητίαση.
Πρόκειται για μια σπάνια αλλά επικίνδυνη και επιθετική περίπτωση μόλυνσης, η οποία επηρεάζει τη μύτη, τα μάτια και κάποιες φορές και τον εγκέφαλο.
⇒ Διαβάστε ακόμη: ΠΟΥ: Πιθανώς πιο ανθεκτική και περισσότερο μεταδοτική η ινδική μετάλλαξη
Αφότου ο συνάδελφός του τελείωσε, ο Δρ. Νάιρ ξεκίνησε μια τρίωρη διαδικασία για να αφαιρέσει το μάτι της ασθενούς.
«Θα αφαιρέσω το μάτι της για να της σώσω τη ζωή. Έτσι γίνεται με αυτή τη μόλυνση», δήλωσε στο BBC ο Δρ. Νάιρ.
Καθώς το δεύτερο κύμα της Covid-19 σαρώνει την Ινδία, οι γιατροί στη χώρα κάνουν λόγο πλέον και για μια έξαρση περιστατικών μιας σπάνιας μόλυνσης – η οποία είναι γνωστή και ως ο «μαύρος μύκητας» – σε ασθενείς που αναρρώνουν από Covid αλλά και σε όσους έχουν αναρρώσει πλήρως.
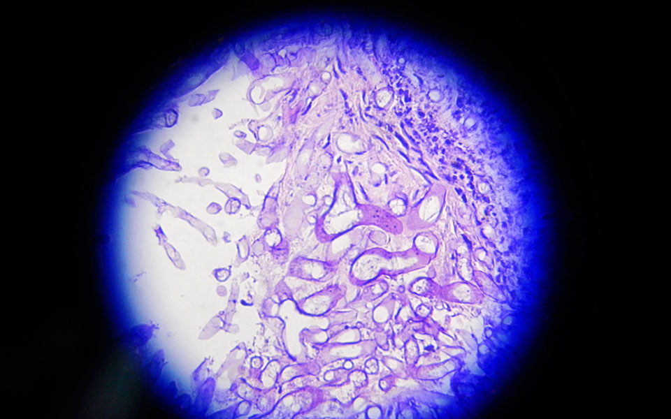
Τι είναι η βλεννομυκητίαση;
Όπως αναφέρθηκε παραπάνω, είναι μια πολύ σπάνια μόλυνση που προκαλείται από έκθεση σε ένα μύκητα, ο οποίος συναντάται συχνά στο χώμα, τα φυτά, την κοπριά και σε σαπισμένα φρούτα και λαχανικά.
«Βρίσκεται παντού και συναντάται κυρίως στο χώμα και στον αέρα ακόμη και στη μύτη και τη βλέννα υγιών ανθρώπων», αναφέρει ο Δρ. Νάιρ.
Επηρεάζει τις ρινικές κοιλότητες, τον εγκέφαλο και τους πνεύμονες και μπορεί να είναι και θανατηφόρος σε διαβητικούς ή σε άτομα με αποδυναμωμένο ανοσοποιητικό σύστημα όπως ασθενίς με καρκίνο ή άτομα με HIV/AIDS.
Οι γιατροί πιστεύουν ότι η εν λόγω μόλυνση, η οποία έχει δείκτη θνητότητας 50%, μπορεί να προκαλείται από τη χρήση στεροειδών, που είναι μια σωτήρια θεραπεία για βαριά νοσούντες με Covid-19.
Τα στεροειδή περιορίζουν τη φλεγμονή στους πνεύμονες σε ασθενείς με Covid και φαίνεται μάλιστα πως βοηθούν στο να εμποδίζουν πιθανές βλάβες στον οργανισμό που μπορούν να προκύψουν όταν το ανοσοποιητικό δίνει έντονη μάχη για να καταπολεμήσει τον ιό.
Ωστόσο, μειώνουν και τα επίπεδα ανοσίας του οργανισμού και αυξάνουν το ζάχαρο τόσο σε διαβητικούς όσο και σε μη διαβητικούς ασθενείς Covid.
Ο διαβήτης περιορίζει τις άμυνες του οργανισμού, στη συνέχεια η Covid επιδεινώνει την κατάσταση και μετά τα στεροειδή κατά της Covid λειτουργούν σαν να ρίχνεις λάδι στη φωτιά», εξηγεί ο Δρ. Νάιρ.
Ο ίδιος εργάζεται σε τρία νοσοκομεία στη Μουμπάι, η οποία είναι μια από τις πόλεις της Ινδίας που έχουν δεχθεί το χειρότερο πλήγμα από το δεύτερο κύμα του κορωνοϊού.
Όπως αναφέρει, τον Απρίλιο είδε περίπου 40 ασθενείς που υπέφεραν από αυτή τη μυκητίαση. Πολλοί από αυτούς ήταν διαβητικοί που είχαν αναρρώσει από Covid-19 χωρίς να νοσηλευτούν. Έντεκα από αυτούς χρειάστηκε να υποβληθούν σε επέμβαση για να τους αφαιρεθεί το ένα μάτι.
Μεταξύ Δεκεμβρίου και Φεβρουαρίου, μόνο έξι από τους συναδέλφους του σε πέντε πόλεις, τη Μουμπάι, τη Μπανγκαλόρε, το Χιντεραμπάντ, το Δελχί και την Πούνε, ανέφεραν 58 περιπτώσεις τις συγκεκριμένης μόλυνσης.
Οι περισσότεροι από τους ασθενείς προσβλήθηκαν περίπου 12 με 15 ημέρες μετά την ανάρρωση από Covid.
Πηγή: BBC

