Τον Γεώργιο Παπανικολάου, διάσημο Έλληνα ιατρό, βιολόγο και ερευνητή, που ανακάλυψε την πρωτοποριακή κυτταροδιαγνωστική μέθοδο, γνωστή ως Τεστ Παπ, τιμά σήμερα η Google με το Doodle της.
Ο Γεώργιος Παπανικολάου γεννήθηκε στην Κύμη Ευβοίας στις 13 Μαΐου 1883. Ήταν πρωτοπόρος στην κυτταροπαθολογία και για τον πρώιμο εντοπισμό του καρκίνου του τραχήλου της μήτρας. Είναι περισσότερο γνωστός ως ο άνθρωπος που ανακάλυψε την πρωτοποριακή κυτταροδιαγνωστική μέθοδο, γνωστή ως Τεστ Παπ, που χάρισε ζωή στις γυναίκες όλου του κόσμου, όπως αναφέρει αναμνηστική πλάκα στο Ερευνητικό Καρκινολογικό Ινστιτούτο «Γ. Παπανικολάου».

Ο Γεώργιος Παπανικολάου πέρασε τα παιδικά του χρόνια στην Κύμη, όπου και τελείωσε το Δημοτικό Σχολείο. Κατόπιν οι γονείς του, τον έστειλαν στην Αθήνα για να τελειώσει τις εγκύκλιες σπουδές.
Με το πέρας των γυμνασιακών του σπουδών εισήλθε το 1898 στην Ιατρική Σχολή του Πανεπιστημίου Αθηνών, σε ηλικία 15 ετών. Έλαβε το πτυχίο του το 1904, σε ηλικία, δηλαδή, μόλις 21 ετών.

(Το πτυχίο του. Πηγή φωτογραφίας: wikipedia)
Στη συνέχεια εκπλήρωσε τη στρατιωτική του θητεία. Τότε, ο πατέρας του πρότεινε μεταξύ άλλων να ακολουθήσει το δρόμο του στρατιωτικού ιατρού, την οποία πρόταση, βεβαίως, απέρριψε.
Μάλιστα σε ένα γράμμα προς τον πατέρα του έγραφε:
«Όχι δεν θέλω να γίνω στρατιωτικός γιατρός. Θέλω να μείνω ελεύθερος, να αισθανθώ την χαρά που δίνει ο αγών της ζωής. Εμένα δεν με τρομάζει το πέλαγος. Θέλω την ελευθερία μου, την γλυκιά μου ελευθερία».
Ήταν φιλομαθής. Στην Αθήνα, κατά τη διάρκεια των σπουδών του, διεύρυνε τη μόρφωσή του με την εκμάθηση ξένων γλωσσών, όπως τα γαλλικά, που θεωρούνταν, τότε, απαραίτητα για τους καλλιεργημένους ανθρώπους. Ωστόσο ασχολήθηκε με τη φιλοσοφία, τη λογοτεχνία και τη μουσική, η οποία ήταν και το μεγάλο του πάθος. Έτσι, ασχολήθηκε επί οκτώ έτη με το βιολί. Παρακολουθούσε μαθήματα στο Ωδείο Λότνερ.
Ολοκληρώνοντας τις σπουδές του στην Ιατρική Σχολή, επέστρεψε στην Κύμη. Επιστρέφοντας όμως εκεί, συλλογιζόταν το λόγο που έγινε ιατρός, αφού δεν ήθελε να ασκήσει το επάγγελμα αυτό.
Καθημερινά, κάνοντας αμέτρητους περιπάτους, στην Κύμη, ήρθε πιο κοντά με τη φιλοσοφία. Ο Φρίντριχ Νίτσε έπαιξε μεγάλο ρόλο στον τρόπο σκέψης του. Επίσης ασχολήθηκε και με τους: Γιόχαν Βόλφγκανγκ Γκαίτε, Ιμμάνουελ Καντ, και Άρθουρ Σοπενχάουερ.
Ο πατέρας του θυσίασε τις οικονομίες τους, αφού γνώριζε το χαρακτήρα και τις ικανότητες του Γεωργίου, έτσι το 1907 τον στέλνει στη Γερμανία, για ανώτερες σπουδές. Αποφασιστικό ρόλο, στην απόφαση αυτή του Παπανικολάου, έπαιξε ο φίλος του Αλέξανδρος Δελμούζος.

(Πηγή φωτογραφίας: wikipedia)
Ο Παπανικολάου επέλεξε τον κλάδο της Βιολογίας. Αρχικά, μετέβη στην Ιένα, η οποία ήταν ο πρώτος σταθμός της μετεκπαίδευσής του. Εκεί θα παρακολουθήσει τα μαθήματα του καθηγητή Ερνέστου Χαίκελ.
Το 1908 συνεχίζει τις σπουδές του στο Φράιμπουρκ και τέλος, στο Μόναχο, με μεγάλους καθηγητές της εποχής: Χέρτβιγκ και Βάισμαν.
Το 1910 ανακηρύσσεται Διδάκτωρ της Φιλοσοφίας, για την εργασία του «Περί των συνθηκών της διαφοροποιήσεως του φύλου των Δαφνιδών». Αυτή η περίοδος, υπήρξε περίοδος φιλοσοφικού στοχασμού. Διατηρεί τις σχέσεις που είχε με τον Αλέξανδρο Δελμούζο και τον Γεώργιο Σκληρό, με τον γνωστό λογοτέχνη Κωνσταντίνο Χατζόπουλο και τον Μ. Ζαβιτσιάνο, με τους οποίους ο Παπανικολάου συγκροτεί σοσιαλιστική ομάδα με βραχύβια διάρκεια.
Ήταν υπέρμαχος του δημοτικισμού και γενικότερα, εκείνη την εποχή ταυτιζόταν με ριζοσπαστικές ιδέες για την επιστήμη και την πολιτική. Συγκεκριμένα, αρθρογραφεί στο αθηναϊκό περιοδικό «Ο Νουμάς» ένα άρθρο που έφερε τον τίτλο «Για τον εγωισμό και τους εγωιστάς», (το οποίο αποτέλεσε καταρχήν απάντηση σε κείμενο, που δημοσιεύθηκε σε προηγούμενο φύλλο με τίτλο «Εγωισμός ή Έρωτας»).

(Πηγή φωτογραφίας: wikipedia)
Ένα ενδιαφέρον άρθρο, που αποτυπώνει σε αυτό, τις σκέψεις και τις αντιλήψεις που είχε τότε ο Παπανικολάου.
Εν τέλει, υπερνικά η βιολογία και η έρευνα και του γίνεται στόχος ζωής. Έγραψε κάποτε στον πατέρα του: «Δεν είμαι πλέον ονειροπόλος. Η επιστήμη με άρπαξε από τα χέρια του Νίτσε. Πατώ απάνω σε έδαφος στερεό…».
Στις 15 Σεπτεμβρίου 1910 παντρεύτηκε την Ανδρομάχη Μαυρογένη. Το 1912, συμμετείχε στους Βαλκανικούς πολέμους. Ωστόσο, καταλάβαινε πως τα πράγματα δεν ήταν ευοίωνα στη χώρα για εκείνον.
Πρώτος σταθμός του γίνεται η Γαλλία. Εκεί εργάζεται στο Ωκεανογραφικό Ινστιτούτο του Μονακό, στην επιστημονική ομάδα του Πρίγκιπα του Μονακό, Αλβέρτου Α΄.
Όταν έληξε ο πόλεμος, το 1913, αναχώρησε για την Αμερική μαζί με την Ανδρομάχη. Οι συνθήκες ήταν δύσκολες ελέω οικονομικών δυσχερειών. Αυτό είχε ως αποτέλεσμα να εργαστούν και οι δυο σε κάποιο εμπορικό κατάστημα, πουλώντας χαλιά και ράβοντας κουμπιά με αμοιβή 5 δολάρια την εβδομάδα.
Ωστόσο ο φτωχός και άγνωστος μετανάστης εξελίχθηκε ταχέως. Αρχικά, από υπάλληλος σε κατάστημα και δημοσιογράφος σε ελληνική εφημερίδα, κέρδισε με δυσκολία μία θέση στο Εργαστήριο Ανατομικής του Πανεπιστημίου Κολούμπιακαι, αργότερα, μία θέση στο Πανεπιστήμιο Κορνέλ της Νέας Υόρκης. Από εκεί και πέρα εργάστηκε απρόσκοπτα, δείχνοντας τις αμέτρητες ικανότητές του.
Ακολούθως εκλέχθηκε υφηγητής, έκτακτος καθηγητής και, τέλος, τακτικός καθηγητής της ανατομίας και ιστολογίας της ιατρικής σχολής, του Πανεπιστημίου αυτού. Μετά από μακρές έρευνες επί της εκφυλιστικής κληρονομικής επίδρασης του οινοπνεύματος σε ινδικά χοιρίδια ο Παπανικολάου στράφηκε σε προβλήματα αναπαραγωγής σχετιζόμενα με τη λειτουργία των γεννητικών οργάνων, τον καθορισμό του φύλου, τη λειτουργία των ενδοκρινών αδένων, καθώς και των φυλετικών ορμονών.
Το 1954, ο Παπανικολάου δημοσίευσε το μνημειώδες έργο «Άτλαντας της Αποφολιδωτικής Κυτταρολογίας» (Atlas of Exfoliative Cytology), εδραιώνοντας και επίσημα πλέον τη νέα ιατρική πρακτική και ειδικότητα που ουσιαστικά ανέπτυξε από το μηδέν.

(Πηγή φωτογραφίας: wikipedia)
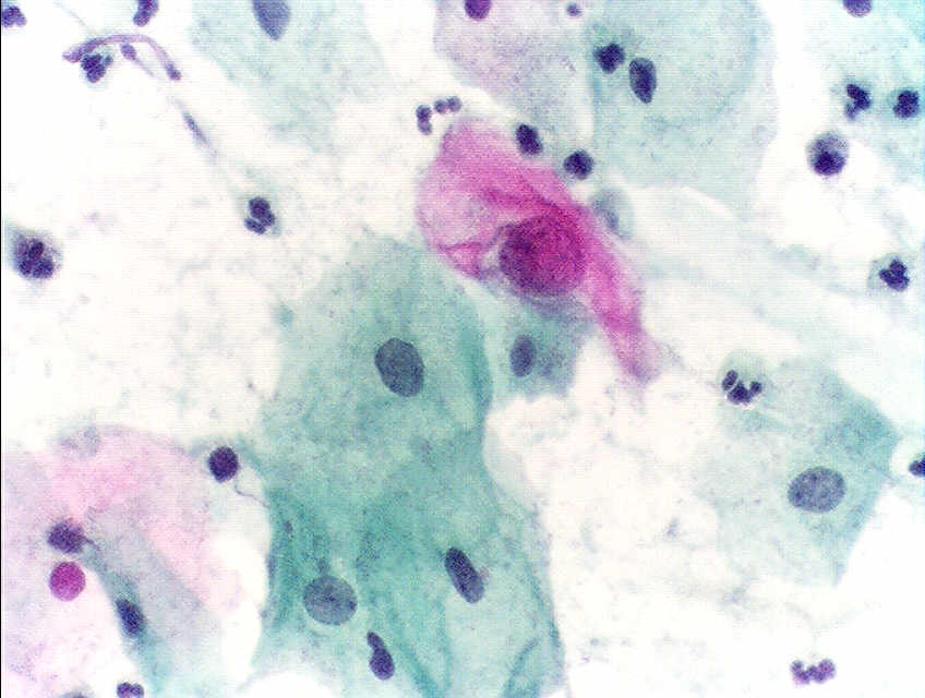
Σήμερα το τεστ Παπανικολάου (Τεστ-Παπ) χρησιμοποιείται παγκοσμίως για την διάγνωση του καρκίνου του τραχήλου της μήτρας, επί της προκαρκινικής δυσπλασίας και άλλων κυτταρολογικών ασθενειών του γυναικείου αναπαραγωγικού συστήματος.
Το 1923 εφάρμοσε τη μέθοδό του σε γυναίκες, προς μελέτη των φυσιολογικών γεννητικών λειτουργιών και στη συνέχεια για τη διάγνωση του καρκίνου του τραχήλου της μήτρας. Η πρώτη του ανακοίνωση επί της χρησιμοποίησης της κυτταρολογικής μεθόδου προς διάγνωση του καρκίνου του τραχήλου της μήτρας, το 1928, έγινε δεκτή με πολύ σκεπτικισμό, καθόσον η κρατούσα τότε γνώμη, για τέτοιου είδους έρευνα και εφαρμογή, επί αποφολιδουμένων κυττάρων ήταν πρακτικά αδύνατη. Τέτοια διάγνωση θεωρούνταν δυνατή, μέχρι την εποχή εκείνη, μόνο με την τομή του πάσχοντος οργάνου.
Οι έρευνες του Παπανικολάου επεκτάθηκαν στη συνέχεια στις κυτταρολογικές αλλοιώσεις στο καρκίνο του αυχένα της μήτρας και του ενδομητρίου, των οποίων τα πορίσματα δημοσίευσε το 1943 από κοινού μετά του καθηγητή γυναικολογίας Έρμπερτ Τράουστ σε ειδική μονογραφία υπό τον τίτλο «Διάγνωσις του καρκίνου της μήτρας μέσω των κολπικών επιχρισμάτων» (Diagnosis of Uterine Cancer by the Vaginal Smear).
Η δημοσίευση της εργασίας αυτής ήταν επόμενο να κεντρίσει το παγκόσμιο ιατρικό ενδιαφέρον και να προκαλέσει την άμεση δοκιμαστική χρησιμοποίηση της μεθόδου σε διάφορα νοσοκομεία. Το 1944 έγινε η πρώτη εφαρμογή επί του ουροποιητικού συστήματος και στη συνέχεια επί του πεπτικού και άλλων συστημάτων του οργανισμού.
&
Ο Παπανικολάου με τις εργασίες του αυτές έγινε ο θεμελιωτής νέου επιστημονικού κλάδου της «αποφολιδωτικής κυτταρολογίας» βασιζόμενη ακριβώς στη μελέτη των αποφιλιδουμένων κυττάρων του οργανισμού στις διάφορες κοιλότητες αυτού.
Η μέθοδος αυτή που έλαβε προς τιμή του την ονομασία «Μέθοδος Παπανικολάου» ή «Τεστ Παπανικολάου» και κατά συγκοπή «Τεστ Παπ» άνοιξε ευρείς νέους ορίζοντες στην ιατρική έρευνα στη γενετήσια φυσιολογία και ενδοκρινολογία ειδικότερα για τον καρκίνο.
Το Νοέμβριο του 1961, συνοδευόμενος πάντα από τη σύζυγό του και σύντροφο στις έρευνές του, Μάχη, εγκατάλειψε τη Νέα Υόρκη καθώς δέχτηκε να αναλάβει την οργάνωση και διεύθυνση ενός Καρκινολογικού Ινστιτούτου στο Μαϊάμι της Φλόριντα.
Η αλλαγή περιβάλλοντος και η γενικότερη κούραση, για τις ανάγκες του Ινστιτούτου, ήταν καθοριστική. Απεβίωσε στις 19 Φεβρουαρίου του 1962, από καρδιακή προσβολή. Ο θάνατος του Γεωργίου Παπανικολάου ήταν μεγάλη απώλεια για την επιστήμη.

