Ορισμένες θεραπείες που χρησιμοποιούνται για την αντιμετώπιση του καρκίνου ενδέχεται να αυξήσουν τον κίνδυνο εμφάνισης αιματολογικών καρκίνων στο μέλλον, όπως διαπιστώνει έρευνα στην Ιαπωνία που δημοσιεύθηκε διαδικτυακά στο επιστημονικό περιοδικό της Αμερικανικής Αντικαρκινικής Εταιρείας Cancer.
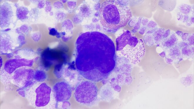
Η πληθυσμιακή μελέτη αποκάλυψε μια σταδιακή αύξηση τα τελευταία 30 χρόνια των ποσοστών οξείας μυελογενούς λευχαιμίας που σχετίζεται με τη θεραπεία του καρκίνου.
Οι ερευνητές ανέλυσαν δεδομένα από το Μητρώο Καρκίνου της Οσάκα που αφορούσαν 9.841 ασθενείς στην Ιαπωνία που διαγνώστηκαν με οξεία μυελογενή λευχαιμία την περίοδο 1990 έως 2020. Διαπιστώθηκε ότι η ετήσια συχνότητα εμφάνισης οξείας μυελογενούς λευχαιμίας έπειτα από θεραπεία αυξήθηκε από 0,13 ανά 100.000 κατοίκους το 1990 σε 0,36 ανά 100.000 κατοίκους το 2020. Το ποσοστό των περιπτώσεων οξείας μυελογενούς λευχαιμίας έπειτα από θεραπεία στο σύνολο των περιπτώσεων οξείας μυελογενούς λευχαιμίας σχεδόν διπλασιάστηκε.
Ο πιο συνηθισμένος πρωτοπαθής καρκίνος που αντιμετωπίστηκε πριν από την ανάπτυξη οξείας μυελογενούς λευχαιμίας ήταν κάποια άλλη μορφή καρκίνου του αίματος (23,1%), ο καρκίνος του μαστού (14,6%), ο καρκίνος του παχέος εντέρου (11,5%) και ο καρκίνος του στομάχου (8,7%). Στην πάροδο του χρόνου υπήρξε αξιοσημείωτη αύξηση των ποσοστών του καρκίνου του μαστού και μείωση του καρκίνου του στομάχου.
Πηγή: ΑΠΕ

