Εάν ένας αργός ή μη φυσιολογικός καρδιακός ρυθμός σάς προκαλεί ζάλη ή λαχάνιασμα ή ακόμη και λιποθυμία, ίσως χρειάζεστε βηματοδότη. Αυτές οι συσκευές, που λειτουργούν με μπαταρία, παρακολουθούν συνεχώς τους χτύπους της καρδιάς σας και –αν χρειάζεται– διοχετεύουν έναν ηλεκτρικό παλμό ώστε να προκαλέσουν τον χτύπο της καρδιάς. Οι Αμερικανοί που έχουν βηματοδότη ανέρχονται σε τρία εκατομμύρια και κάθε χρόνο η συσκευή τοποθετείται σε άλλα 200.000 άτομα.
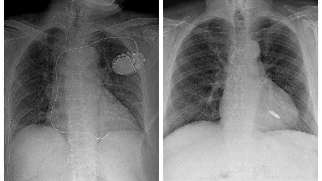
Ο πρώτος βηματοδότης, που εμφυτεύθηκε το 1958, αποτελείτο από πολλαπλά στοιχεία, μεταξύ των οποίων μια γεννήτρια παλμών με διάμετρο περίπου 7,5 εκατοστά. Ένας βηματοδότης νέας γενιάς διαθέτει γεννήτρια παλμών μεγέθους δύο κερμάτων του ενός ευρώ το ένα πάνω στο άλλο. Η συσκευή εμφυτεύεται υποδόρια κοντά στην κλείδα και συνδέεται με την καρδιά μέσω ενός ή περισσότερων εύκαμπτων καλωδίων τα οποία ονομάζονται ηλεκτρόδια (βλ. εικόνα). Όμως σήμερα υπάρχουν επίσης βηματοδότες χωρίς ηλεκτρόδια, οι οποίοι δεν είναι μεγαλύτεροι από μια κάψουλα πολυβιταμίνης – εξέλιξη που έχει μειώσει εντυπωσιακά τον κίνδυνο επιπλοκών από αυτές τις συσκευές.
Το πρόβλημα με τα ηλεκτρόδια
Εάν έχετε οποιουδήποτε είδους ξένο αντικείμενο (π.χ. έναν βηματοδότη ή μια τεχνητή άρθρωση) μέσα στο σώμα σας, οι λοιμώξεις μπορεί να αποτελέσουν σοβαρό πρόβλημα. «Εάν έχετε, για παράδειγμα, πνευμονία, μια λοίμωξη του ουροποιητικού ή μια δερματική λοίμωξη, τα βακτήρια είναι δυνατόν να κυκλοφορήσουν μέσω του αίματος και να συσσωρευτούν πάνω στα εξαρτήματα του βηματοδότη», λέει η δρ Theofanie Mela, διευθύντρια της Κλινικής Βηματοδοτών και ICD στο συνεργαζόμενο με το Χάρβαρντ Massachusetts General Hospital. Τα ηλεκτρόδια του βηματοδότη έχουν μήκος περίπου 60 εκατοστά, γεγονός που σημαίνει ότι οι παραδοσιακές συσκευές έχουν μεγαλύτερο εμβαδόν και επομένως είναι πιθανότερο να μολυνθούν από ό,τι οι συσκευές χωρίς ηλεκτρόδια, εξηγεί.

Επιπλέον, η γεννήτρια παλμών εισάγεται σε μια μικρή θήκη ακριβώς κάτω από το δέρμα στο επάνω μέρος του θώρακα. Σε περίπου 1% με 3% των περιπτώσεων, παρουσιάζονται λοιμώξεις από βακτήρια που εισέρχονται στη θήκη όταν γίνεται η αρχική εμφύτευση ή η αντικατάσταση του βηματοδότη. Άλλες επιπλοκές μπορεί να παρουσιαστούν με την πάροδο των χρόνων: ηλεκτρόδια μπορεί να μετακινηθούν, να φθαρούν, να ξεφτίσουν ή ακόμη και να σπάσουν. Ουλές ή θρόμβοι αίματος είναι πιθανό να σχηματιστούν γύρω από τα ηλεκτρόδια, γεγονός που μπορεί να εμποδίσει τη ροή του αίματος και να προκαλέσει πόνο και οίδημα.
Το πλεονέκτημα της απουσίας ηλεκτροδίων
Με τους βηματοδότες χωρίς ηλεκτρόδια, η διαδικασία εμφύτευσης είναι απλούστερη και πιο ασφαλής. Ο γιατρός εισάγει έναν καθετήρα μέσω ενός αγγείου στη βουβωνική χώρα και απελευθερώνει τη συσκευή επάνω στο τοίχωμα της καρδιάς – δεν χρειάζεται ούτε γεννήτρια ούτε ηλεκτρόδια. Τα πρώτα τρία χρόνια από την εμφύτευση, το ποσοστό επιπλοκών για τους βηματοδότες χωρίς ηλεκτρόδια ήταν 4,1% συγκριτικά με 8,5% για τους κλασικούς βηματοδότες, σύμφωνα με μελέτη που δημοσιεύθηκε στις 7 Απριλίου 2024 στο επιστημονικό περιοδικό European Heart Journal.
Οι συσκευές πρώτης γενιάς είχαν περιορισμένα χαρακτηριστικά, αλλά σήμερα οι βηματοδότες χωρίς ηλεκτρόδια μπορούν να κάνουν σχεδόν ό,τι κάνουν οι κλασικοί βηματοδότες.
Έχοντας λάβει άδεια κυκλοφορίας από τον FDA το 2016, ο πρώτος βηματοδότης χωρίς ηλεκτρόδια ήταν μια απλή μονάδα που τοποθετείτο στην κάτω δεξιά κοιλότητα της καρδιάς (κοιλία). Αυτές οι πρώιμες συσκευές ήταν κατάλληλες για περίπου το 20% των υποψηφίων για τοποθέτηση βηματοδότη ατόμων.
«Οι συσκευές πρώτης γενιάς είχαν περιορισμένα χαρακτηριστικά. Αλλά με τον χρόνο οι ερευνητές τούς τελειοποίησαν και σήμερα οι βηματοδότες χωρίς ηλεκτρόδια μπορούν να κάνουν σχεδόν ό,τι κάνουν οι κλασικοί βηματοδότες», λέει η δρ Mela. Το 2023, ο FDA ενέκρινε τον πρώτο βηματοδότη χωρίς ηλεκτρόδια δύο κοιλοτήτων, ο οποίος περιλαμβάνει μια δεύτερη συσκευή που προορίζεται για την άνω δεξιά κοιλότητα της καρδιάς (κόλπο). Οι δύο συσκευές επικοινωνούν μεταξύ τους ασύρματα, προκειμένου να συντονίζουν καλύτερα τις συσπάσεις της καρδιάς.
Πιθανά μειονεκτήματα
Ένας βηματοδότης χωρίς ηλεκτρόδια έχει το διπλάσιο έως τριπλάσιο κόστος από έναν συμβατικό βηματοδότη, λέει η δρ Mela. Ωστόσο, η υψηλότερη τιμή πιθανότατα δικαιολογείται εάν λάβετε υπόψη το μικρότερο ποσοστό επιπλοκών, οι οποίες μερικές φορές καθιστούν απαραίτητη την αφαίρεση της γεννήτριας παλμών και την εμφύτευση νέας.
Δεδομένου ότι οι βηματοδότες χωρίς ηλεκτρόδια είναι σχετικά καινούργιοι, οι γιατροί έχουν λιγότερη εμπειρία σχετικά με τη συμπεριφορά τους μακροπρόθεσμα. «Παραδείγματος χάριν, όταν η μπαταρία εξαντληθεί έπειτα από 10 χρόνια, είναι δυνατή η ασφαλής αφαίρεση της συσκευής και η τοποθέτηση νέας; Δεν το γνωρίζουμε στην πράξη», επισημαίνει η δρ Mela. Ένα ενδεχόμενο θα είναι να τοποθετηθεί μια νέα συσκευή κοντά στην πρώτη. Στους πιθανούς περιορισμούς αυτής της στρατηγικής περιλαμβάνεται η ανεπάρκεια χώρου και οι παρεμβολές μεταξύ των συσκευών. Προς το παρόν, το ιατρείο της εμφυτεύει βηματοδότες χωρίς ηλεκτρόδια κυρίως σε ηλικιωμένα άτομα, τα οποία είναι λιγότερο πιθανό να χρειαστούν πολλαπλές αντικαταστάσεις κατά τη διάρκεια της ζωής τους.
Με το βλέμμα στο μέλλον
Η τεχνολογία των βηματοδοτών χωρίς ηλεκτρόδια εξελίσσεται διαρκώς και περιλαμβάνει συστήματα με μπαταρίες με διάρκεια ζωής έως και 17 έτη. Προκαταρκτικά ευρήματα υποδηλώνουν ότι υπάρχει η πιθανότητα αξιοποίησης της ηλεκτρικής ενέργειας από τους καρδιακούς παλμούς για τη μερική επαναφόρτιση της μπαταρίας της συσκευής. Εάν ο γιατρός σας σας πει ότι χρειάζεστε βηματοδότη, ρωτήστε εάν είστε κατάλληλος υποψήφιος ή υποψήφια για συσκευή χωρίς ηλεκτρόδια, συμβουλεύει η δρ Mela.

