Ακριβώς όπως το σώμα μας γίνεται λιγότερο ευέλικτο με την ηλικία, έτσι και ο εγκέφαλός μας. Είναι φυσιολογικό μέρος της γήρανσης να ξεχνάμε περισσότερο ή να χρειαζόμαστε περισσότερη ώρα για να θυμηθούμε ονόματα και γεγονότα. Μερικές φορές, όμως, αυτές οι αλλαγές στη γνωστική λειτουργία εμφανίζονται γρηγορότερα από το σύνηθες. Τώρα, νέα έρευνα βρήκε ότι αυτή η πρωιμότερη εμφάνιση της έκπτωσης της γνωστικής λειτουργίας μπορεί να είναι πιο συνήθης μετά από μια καρδιακή προσβολή (βλ. «Αλλαγές στη γνωστική λειτουργία μετά από καρδιακή προσβολή»).
Η γνωστική λειτουργία –η ικανότητα να σκεφτόμαστε λογικά και να θυμόμαστε– μπορεί να αξιολογηθεί με πολλούς διαφορετικούς τρόπους. Η νέα μελέτη εξέτασε τη γενική (τη συνολική) γνωστική λειτουργία, η οποία περιλαμβάνει τομείς όπως η εκμάθηση, η ταχύτητα επεξεργασίας και η εκτελεστική λειτουργία (η ικανότητα να εκτελούμε νοητικές εργασίες όπως ο προγραμματισμός ή να θυμόμαστε οδηγίες). Αμέσως μετά από μια καρδιακή προσβολή, οι επιβιώσαντες δεν παρουσίασαν εμφανείς αλλαγές στη γνωστική λειτουργία. Παρουσίασαν όμως μια ταχύτερη, επίμονη μείωση της γενικής γνωστικής λειτουργίας κατά τα επόμενα έτη, σε σύγκριση με τα άτομα που δεν είχαν υποστεί καρδιακή προσβολή. Η έκπτωση ήταν ίση με τη φυσιολογική γήρανση που παρατηρείται στις γνωστικές λειτουργίες σε ένα διάστημα περίπου 6-13 ετών, σύμφωνα με τους συγγραφείς της μελέτης.
Η σύνδεση καρδιάς και εγκεφάλου
Τι μπορεί να εξηγεί αυτά τα ευρήματα; Η καρδιακή προσβολή ενδέχεται να οδηγεί σε αλλαγές που επηρεάζουν άμεσα τη ροή του αίματος προς τον εγκέφαλο ή που προκαλούν κολπική μαρμαρυγή, μια διαταραχή του καρδιακού ρυθμού η οποία είναι γνωστό ότι αυξάνει τον κίνδυνο για μείζον αγγειακό εγκεφαλικό επεισόδιο. Αυτού του είδους το αγγειακό εγκεφαλικό επεισόδιο, με τη σειρά του, μπορεί να προκαλέσει σοβαρά γνωστικά προβλήματα που επηρεάζουν τη λειτουργία (άνοια). Τα άτομα που υφίστανται καρδιακή προσβολή έχουν υψηλότερο ποσοστό κατάθλιψης, μιας άλλης κατάστασης που συνδέεται με την άνοια.
Ωστόσο, οι ίδιοι παράγοντες που οδηγούν σε στένωση των αρτηριών της καρδιάς –την κύρια αιτία των περισσότερων καρδιακών προσβολών– μπορούν επίσης να οδηγήσουν σε εγκεφαλική μικροαγγειοπάθεια. Γνωστή επίσης ως μικροαγγειακή ισχαιμική νόσος, η πάθηση αυτή οφείλεται στην υψηλή χοληστερόλη και στο συνεχές «σφυροκόπημα» των μικρών αρτηριών του εγκεφάλου από την υψηλή αρτηριακή πίεση. Με την πάροδο του χρόνου, η εσωτερική επένδυση αυτών των αγγείων εμφανίζει πάχυνση, εμποδίζοντας την ομαλή ροή του αίματος και προκαλώντας μικρά «σιωπηρά» αγγειακά εγκεφαλικά επεισόδια.
H μικροαγγειακή ισχαιμική νόσος οφείλεται στην υψηλή χοληστερόλη και στο συνεχές «σφυροκόπημα» των μικρών αρτηριών του εγκεφάλου από την υψηλή αρτηριακή πίεση.
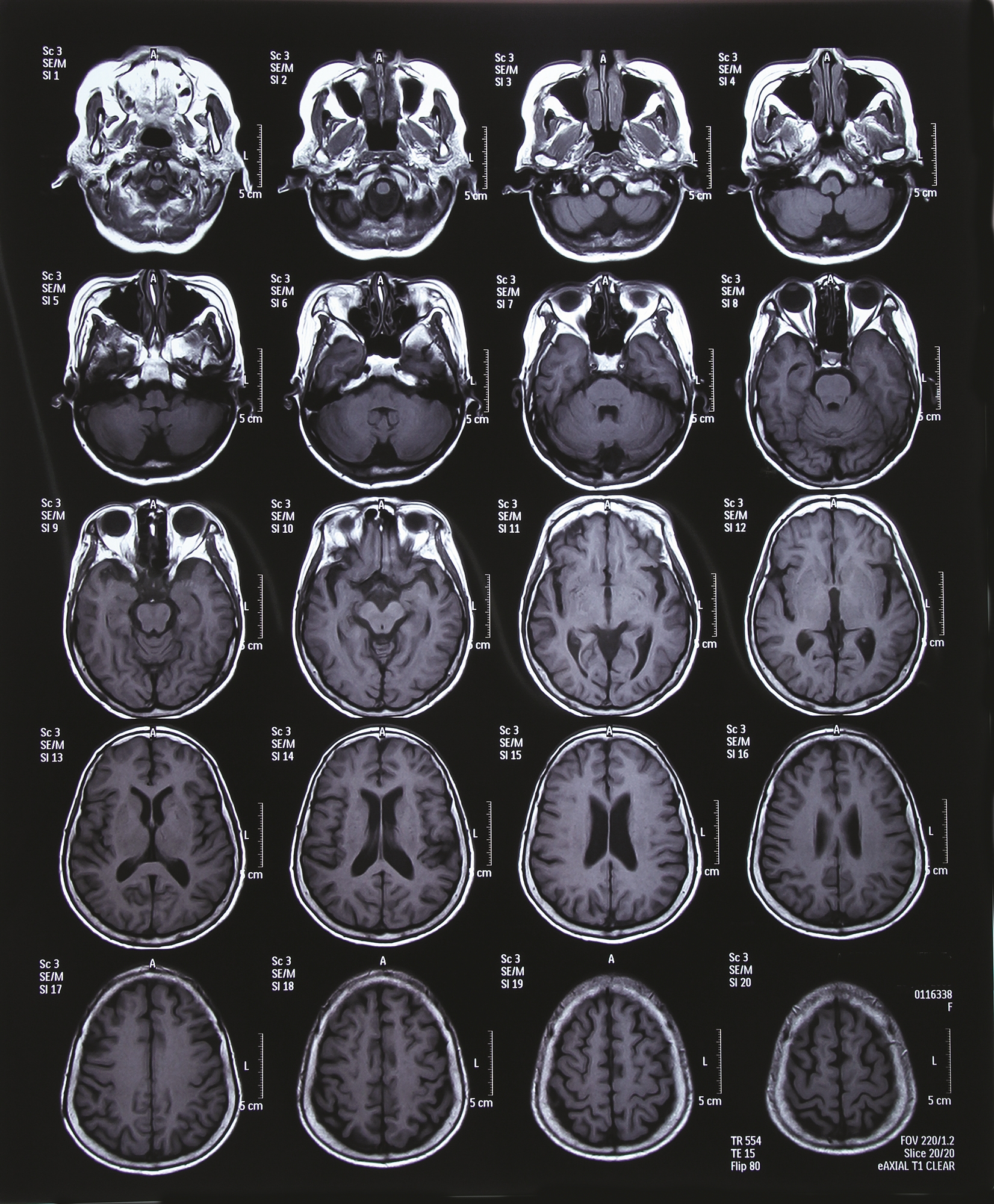
«Ένα μεμονωμένο μικροσκοπικό αγγειακό εγκεφαλικό επεισόδιο δεν είναι ορατό σε μια τομογραφία εγκεφάλου. Όμως, αν συσσωρευτούν δεκάδες ή εκατοντάδες, εμφανίζονται ως πιο φωτεινές περιοχές σε μια μαγνητική τομογραφία (MRI)», δηλώνει ο δρ Andrew Budson, επικεφαλής του Τμήματος Γνωστικής και Συμπεριφορικής Νευρολογίας στο Σύστημα Υγείας Βετεράνων της Βοστώνης και λέκτορας Νευρολογίας στην Ιατρική Σχολή του Χάρβαρντ. Οι φωτεινές κηλίδες είναι γνωστές ως αλλοιώσεις της λευκής ουσίας (η λευκή ουσία αποτελείται από δέσμες νευρικών ινών που συνδέουν τα κύτταρα του εγκεφάλου).
Τις τελευταίες δεκαετίες, οι γιατροί έχουν συνειδητοποιήσει ότι η εγκεφαλική μικροαγγειοπάθεια είναι υπεύθυνη για τη συντριπτική πλειονότητα των περιστατικών αγγειακής άνοιας – δηλαδή του τύπου άνοιας που προκαλείται από προβλήματα στα αιμοφόρα αγγεία, σε αντίθεση με τη νόσο Αλτσχάιμερ. Πριν από αυτό, η αγγειακή άνοια θεωρείτο ότι οφειλόταν κυρίως σε αγγειακά εγκεφαλικά επεισόδια σε μεγάλα αγγεία, τα περισσότερα από τα οποία εκδηλώνονται όταν ένας θρόμβος αίματος φράξει μια αρτηρία του εγκεφάλου, εξηγεί ο δρ Budson.
Γήρανση του εγκεφάλου: φυσιολογική έναντι ταχείας
Οι τομογραφίες εγκεφάλου των περισσότερων ηλικιωμένων εμφανίζουν κάποιες ενδείξεις αλλοιώσεων της λευκής ουσίας. Αναγνωρίζονται ως δείκτες των τυπικών γνωστικών αλλαγών που επέρχονται με την ηλικία. Όμως τα άτομα που έχουν υποστεί καρδιακή προσβολή φαίνεται ότι έχουν περισσότερους παράγοντες κινδύνου για μικροσκοπικά αγγειακά εγκεφαλικά επεισόδια (ίσως και κάποιους που δεν έχουν αναγνωριστεί ακόμη). Ως αποτέλεσμα, φαίνεται ότι έχουν περισσότερες αλλοιώσεις της λευκής ουσίας και εμφανίζουν ακόμη μεγαλύτερη έκπτωση της γνωστικής λειτουργίας. «Ως νευρολόγος που εξετάζει τομογραφίες εγκεφάλου συνεχώς, πιστεύω ότι αυτή είναι η πιο πιθανή εξήγηση», δηλώνει ο δρ Budson.
Για την πρόληψη των καρδιακών προσβολών υπάρχουν ήδη ισχυρά στοιχεία που υπαγορεύουν υγιεινή διατροφή, τακτική άσκηση και διατήρηση φυσιολογικού βάρους. Η επιπλέον προστασία που παρέχουν αυτές οι μέθοδοι για την υγεία του εγκεφάλου είναι ένα πρόσθετο μπόνους.
Αλλαγές στη γνωστική λειτουργία μετά από καρδιακή προσβολή
Για να κατανοήσουν καλύτερα τις αιτίες των γνωστικών προβλημάτων –και τις πιθανές στρατηγικές πρόληψης– ερευνητές εξέτασαν τα δεδομένα έξι μεγάλων μελετών που πραγματοποιήθηκαν στις ΗΠΑ κατά τις τελευταίες πέντε δεκαετίες. Τα ευρήματά τους, τα οποία δημοσιεύθηκαν στο τεύχος Ιουλίου 2023 του JAMA Neurology, συνοψίζονται παρακάτω.
Ποιος: 30.465 ενήλικες χωρίς ιστορικό καρδιακής προσβολής, αγγειακού εγκεφαλικού επεισοδίου ή άνοιας. Λίγο περισσότεροι από τους μισούς (56%) ήταν γυναίκες, 29% ήταν μαύρης φυλής και 8% ήταν λατινοαμερικανικής καταγωγής.
Πότε: Οι μελέτες διεξήχθησαν από το 1971 ως το 2019.
Τι: Στη διάρκεια περιόδων παρακολούθησης, που κυμαίνονταν από περίπου 5 έως 20 έτη, 1.033 άτομα υπέστησαν καρδιακή προσβολή (από αυτούς, 137 είχαν δύο καρδιακές προσβολές). Όλοι οι συμμετέχοντες είχαν τουλάχιστον μία αξιολόγηση της γνωστικής λειτουργίας και τα άτομα που υπέστησαν καρδιακή προσβολή είχαν τουλάχιστον μία αξιολόγηση πριν και μία μετά το συμβάν.
Κύρια ευρήματα: Οι αλλαγές στη γνωστική λειτουργία δεν ήταν εμφανείς αμέσως μετά την καρδιακή προσβολή. Τα επόμενα χρόνια, όμως, τα άτομα που επιβίωσαν από καρδιακή προσβολή είχαν ταχύτερη από το σύνηθες έκπτωση της γνωστικής ικανότητας.

