Η δυσφορία στο στήθος, ή αλλιώς στηθάγχη, εμφανίζεται όταν τα κύτταρα του καρδιακού μυός (μυοκάρδιο) δεν λαμβάνουν αρκετό πλούσιο σε οξυγόνο αίμα. Τις περισσότερες φορές, η υποκείμενη αιτία είναι η ύπαρξη αθηρωματικής πλάκας εντός των μεγαλύτερων αρτηριών της καρδιάς, η οποία εμποδίζει τη φυσιολογική ροή του αίματος.
Σε μερικές περιπτώσεις όμως, η στηθάγχη προκύπτει από προβλήματα στο δίκτυο των μικροσκοπικών αιμοφόρων αγγείων της καρδιάς – δηλ. από μια πάθηση που ονομάζεται στεφανιαία μικροαγγειακή δυσλειτουργία.
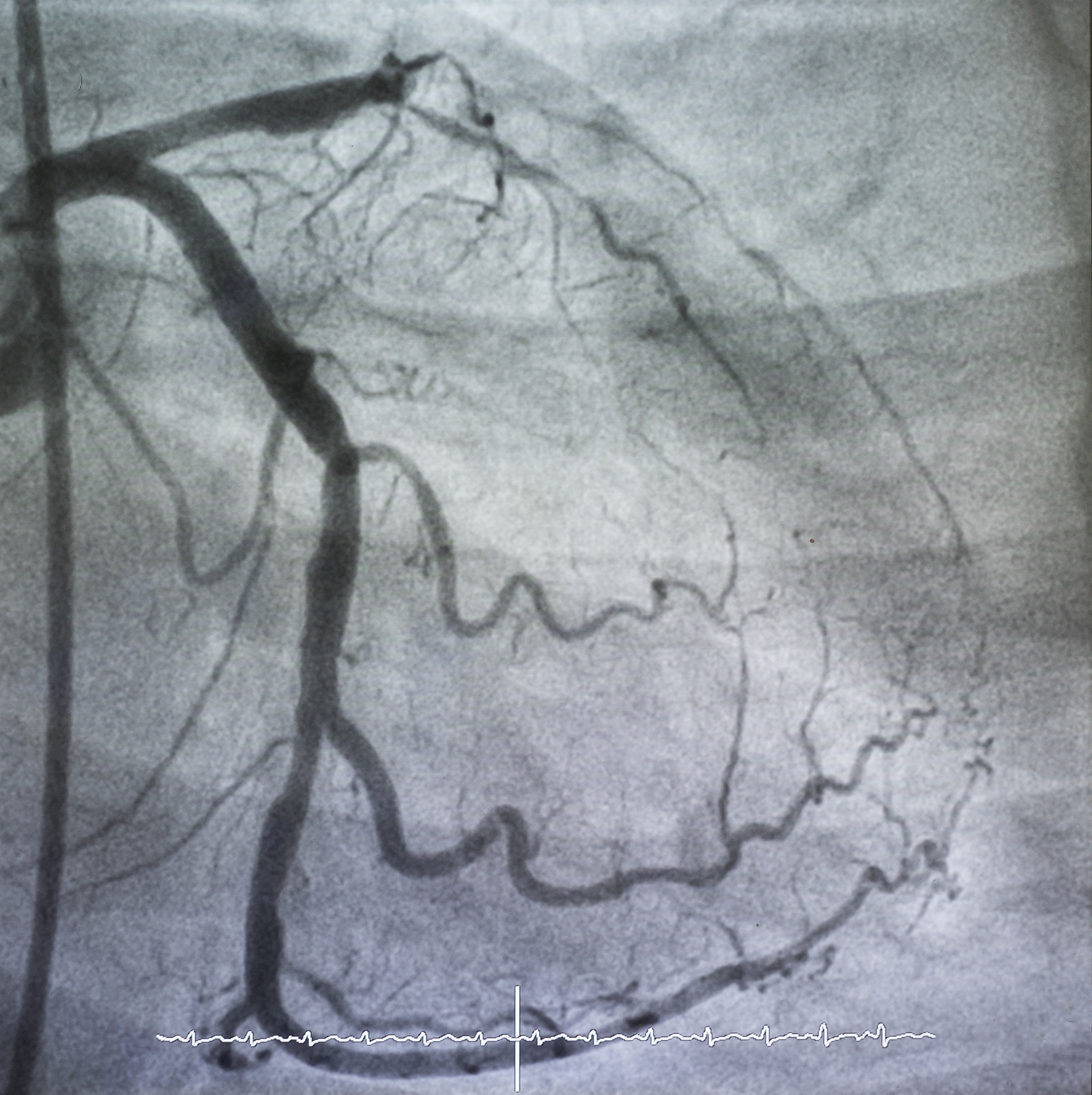
Οι γιατροί υποπτεύονται την ύπαρξη μικροαγγειακής δυσλειτουργίας σε άτομα που έχουν στηθάγχη, αλλά χωρίς ενδείξεις στένωσης των αρτηριών στη στεφανιογραφία. Η εξέταση αυτή, η οποία χρησιμοποιεί σκιαγραφικό και ακτίνες Χ, απεικονίζει μόνο το περίγραμμα του αυλού, το εσωτερικό του σωλήνα των αρτηριών (βλ. εικόνα).
«Ωστόσο, η ανάλυση δεν είναι αρκετά υψηλή ώστε να απεικονίσει τα μικρότερα αγγεία, όπου εμφανίζεται η μεγαλύτερη αντίσταση στη ροή του αίματος», λέει η δρ Viviany Taqueti, η οποία διευθύνει το Εργαστήριο Καρδιακών Δοκιμασιών Κοπώσεως στο συνεργαζόμενο με το Χάρβαρντ Brigham and Women’s Hospital.
Αυτά τα μικροσκοπικά αγγεία –ορισμένα από τα οποία δεν ξεπερνούν σε μέγεθος λίγες ανθρώπινες τρίχες– ρυθμίζουν τη ροή του αίματος έτσι ώστε να καλύπτει τις μεταβαλλόμενες ανάγκες του καρδιακού ιστού.
«Σήμερα αναγνωρίζουμε ότι ένα ποσοστό –που φθάνει το 50%– των ατόμων που υποβάλλονται σε στεφανιογραφία δεν εμφανίζουν στοιχεία αθηρωματικής πλάκας που να περιορίζει τη ροή του αίματος στις αρτηρίες τους», λέει η δρ Taqueti.
Όμως, πολλοί εξακολουθούν να έχουν συμπτώματα στηθάγχης, συνήθως κατά την άσκηση ή όταν βρίσκονται σε ψυχικό στρες. Παλαιότερα, στις αρχές της δεκαετίας του 1970, αυτό το δυσνόητο φαινόμενο είχε ονομαστεί «καρδιακό σύνδρομο Χ», καθώς οι γιατροί δεν κατανοούσαν το αίτιο. Σήμερα, οι καρδιολόγοι αναφέρονται στην πάθηση με τα αρχικά INOCA: ισχαιμία (η οποία αναφέρεται στην ανεπαρκή αιμάτωση) επί απουσίας σημαντικών στενώσεων των στεφανιαίων αρτηριών.
Για λόγους που είναι άγνωστοι, η INOCA είναι συχνότερη στις γυναίκες από ό,τι στους άνδρες, παρότι η μικροαγγειακή δυσλειτουργία μπορεί να προσβάλει και τα δύο φύλα.
Προβλήματα μικροσκοπικών αγγείων
Η INOCA λαμβάνει δύο κύριες μορφές. Στην πιο συχνή μορφή της, τη μικροαγγειακή στηθάγχη, οι εσωτερικοί χιτώνες στα τοιχώματα των μικρότερων αρτηριών ενδέχεται να εμφανίσουν πάχυνση και να χάσουν την ικανότητα διαστολής και συστολής, ως απάντηση στην ανάγκη για αυξημένη ροή αίματος, όπως για παράδειγμα κατά την άσκηση. Επιπλέον, ακόμα και ο αριθμός και ο συνολικός όγκος των τριχοειδών αγγείων (των μικρότερων αγγείων) είναι μικρότερος σε άτομα με μικροαγγειακή νόσο συγκριτικά με εκείνους που δεν πάσχουν από τη νόσο.
Η άλλη, λιγότερο συχνή μορφή, είναι η αγγειοσυσπαστική στηθάγχη. Μύες στο εσωτερικό των αρτηριών της καρδιάς ξαφνικά συστέλλονται, με συνέπεια έναν σπασμό στις στεφανιαίες αρτηρίες. Αυτοί οι σύντομοι, παροδικοί σπασμοί παρεμποδίζουν την ομαλή ροή αίματος στον καρδιακό μυ. Ορισμένοι ασθενείς έχουν και τους δύο τύπους παράλληλα, λέει η δρ Taqueti.
Σε μερικές περιπτώσεις η στηθάγχη προκύπτει από προβλήματα στο δίκτυο των μικροσκοπικών αιμοφόρων αγγείων της καρδιάς.
Παρότι οι αρτηρίες που προσβάλλονται είναι μικρές, τα συμπτώματα μπορεί να έχουν μεγάλο αντίκτυπο στην ποιότητα ζωής του ασθενούς. Τα συμπτώματα, παρόμοια με αυτά που προκαλεί η αποφρακτική στεφανιαία νόσος, μπορεί να περιλαμβάνουν δύσπνοια ή δυσκολία άσκησης.
Η INOCA είναι επίσης δυνατό να αυξήσει τον κίνδυνο εισαγωγής ενός ατόμου στο νοσοκομείο για καρδιακή προσβολή, καρδιακή ανεπάρκεια και τον κίνδυνο θανάτου.
Διαγνωστικές προκλήσεις
Η διάγνωση της στεφανιαίας μικροαγγειακής δυσλειτουργίας απαιτεί πιο εξειδικευμένες εξετάσεις από αυτές που πραγματοποιούνται συνήθως σε άτομα με υποψία καρδιοπάθειας.
Μια εξέταση της στεφανιαίας εφεδρείας ροής (CFR) μετράει σε ποιο βαθμό η κυκλοφορία της καρδιάς μπορεί να τροφοδοτήσει με αίμα υπό καταπόνηση έναντι της κατάστασης ηρεμίας.
Η δοκιμασία μπορεί να πραγματοποιηθεί τοποθετώντας ένα καλώδιο στις κύριες αρτηρίες της καρδιάς και χορηγώντας ένα φάρμακο που διαστέλλει τα αιμοφόρα αγγεία, μιμούμενο την επίδραση της άσκησης.
Αλλά η στεφανιαία εφεδρεία ροής μπορεί να μετρηθεί μη παρεμβατικά, με μια πυρηνική δοκιμασία κοπώσεως που περιλαμβάνει απεικονίσεις με ποζιτρονική τομογραφία (PET).
Η απεικόνιση PET βασίζεται στην έγχυση ραδιοφαρμάκου με σκοπό την ποσοτική εκτίμηση της ροής αίματος στον καρδιακό μυ, τόσο σε ηρεμία όσο και μετά από καταπόνηση.
Μια ακριβής διάγνωση μπορεί να βοηθήσει τους γιατρούς να προσαρμόσουν καλύτερα τη θεραπευτική τους στρατηγική, εξηγεί η δρ Taqueti. Άτομα με στεφανιαία μικροαγγειακή στηθάγχη ενδέχεται να ωφεληθούν από μια θεραπεία που περιλαμβάνει β-αποκλειστές, ενώ εκείνοι με αγγειοσύσπαση μπορεί να ωφεληθούν περισσότερο από αποκλειστές διαύλων ασβεστίου.
Η ξεκάθαρη διάγνωση είναι επίσης σημαντική προκειμένου να προσδιοριστεί καλύτερα η πάθηση και να αναπτυχθούν νέες, στοχευμένες θεραπείες, προσθέτει.
Επιπρόσθετες συμβουλές
Οι ίδιοι παράγοντες που συμβάλλουν στην απόφραξη των μεγαλύτερων αρτηριών, όπως η υπέρταση, η υψηλή χοληστερόλη και το κάπνισμα, είναι κοινοί στα άτομα με μικροαγγειακή δυσλειτουργία.
Το αποτέλεσμα είναι πολλά άτομα με στεφανιαία μικροαγγειακή δυσλειτουργία να λαμβάνουν επίσης άλλα κοινά καρδιολογικά φάρμακα, όπως στατίνες για τη μείωση της χοληστερόλης. Το υψηλό σάκχαρο αίματος, χαρακτηριστικό του διαβήτη, φαίνεται να βλάπτει ιδιαίτερα τις πολύ μικρές αρτηρίες.
Αλλαγές στον τρόπο ζωής και σε φάρμακα για τη βελτίωση των παραγόντων κινδύνου για καρδιοπάθεια ίσως να είναι ευεργετικές.
Αν και δεν υπάρχουν ακόμη θεραπείες που να στοχεύουν ειδικά στη στεφανιαία μικροαγγειακή δυσλειτουργία, η πάθηση αποτελεί έναν τομέα αυξανόμενου ενδιαφέροντος και έρευνας, επισημαίνει η δρ Taqueti.

