Σύμφωνα με τους ειδικούς ανατόμους του 17ου αιώνα, οι αρτηρίες που αιματώνουν την καρδιά την περιβάλλουν σαν στεφάνι, γι’ αυτό και είναι γνωστές ως στεφανιαίες αρτηρίες. Ξεκινούν από την αορτή, τη μεγαλύτερη αρτηρία του σώματος, και φέρονται στον μυ της καρδιάς, τροφοδοτώντας αυτό το όργανο με αίμα και οξυγόνο. Τα υγιή μικρά παιδιά έχουν εύκαμπτες, ελαστικές στεφανιαίες αρτηρίες. Με την πάροδο του χρόνου, οι αρτηρίες της καρδιάς γίνονται σταδιακά πιο δύσκαμπτες και πιο στενές, καθώς στο εσωτερικό των τοιχωμάτων τους αναπτύσσεται αθηρωματική πλάκα, η οποία σχηματίζεται από χοληστερόλη και άλλες ουσίες. Η κατάσταση αυτή, που ονομάζεται στεφανιαία νόσος, ευθύνεται για τις καρδιακές προσβολές, που στις ΗΠΑ συμβαίνουν μία σχεδόν κάθε 40 δευτερόλεπτα.
Θωρακικό άλγος: πότε και γιατί
Η πρώιμη προειδοποιητική ένδειξη στεφανιαίας νόσου είναι ο πόνος στον θώρακα ή αυτό που οι γιατροί ονομάζουν στηθάγχη. Συχνά περιγράφεται ως αίσθηση πίεσης, βάρους ή σφιξίματος και προκαλείται από τη μειωμένη ροή αίματος σε τμήμα της καρδιάς. Μέχρι να φθάσουμε όμως στην εκδήλωση πόνου, η νόσος έχει ήδη προχωρήσει αρκετά.
«Οι άνθρωποι εκπλήσσονται όταν μαθαίνουν ότι συνήθως δεν υπάρχουν καθόλου συμπτώματα στηθάγχης παρά μόνο όταν μια στεφανιαία αρτηρία αποφραχθεί σε ποσοστό 70 έως 90%», δηλώνει ο επεμβατικός καρδιολόγος δρ Robert Yeh, αναπληρωτής καθηγητής Ιατρικής στην Ιατρική Σχολή του Χάρβαρντ. Αυτό συμβαίνει γιατί η καρδιά διαθέτει μεγάλα αποθέματα δύναμης προκειμένου να ανταποκρίνεται στις απαιτήσεις για επιπλέον ροή αίματος όταν χρειάζεται (για παράδειγμα στη διάρκεια άσκησης), εξηγεί ο δρ Yeh. Ως αποτέλεσμα, μια λιγότερο σοβαρή έμφραξη συνήθως περνά απαρατήρητη. Η στηθάγχη που εμφανίζεται κατά τη διάρκεια σωματικής δραστηριότητας, αλλά υποχωρεί γρήγορα στην ηρεμία είναι γνωστή ως σταθερή στηθάγχη. Μια πιο σοβαρή μορφή, η ασταθής στηθάγχη, παρατηρείται ακόμη και σε κατάσταση ηρεμίας. Έχει αυξανόμενη ένταση και μπορεί να διαρκεί μερικά λεπτά ή περισσότερο. Η καρδιακή προσβολή προκαλείται όταν μια στεφανιαία αρτηρία είναι πλήρως ή μερικώς φραγμένη. Ωστόσο, δεν ευθύνεται πάντα η σταδιακή ανάπτυξη αθηρωματικής πλάκας. Μερικές φορές, μια μικρότερη πλάκα υφίσταται ξαφνικά ρήξη, με συνέπεια τον σχηματισμό θρόμβου (μιας μάζας από κύτταρα του αίματος και άλλα υλικά), που φράσσει την αρτηρία.
Παρότι μια τέτοια απόφραξη μπορεί να παρατηρηθεί σε οποιαδήποτε από τις στεφανιαίες αρτηρίες, μια συχνή θέση είναι η αριστερή πρόσθια κατιούσα στεφανιαία αρτηρία, η κύρια αρτηρία που τροφοδοτεί με αίμα το πρόσθιο τμήμα της καρδιάς. Αυτές οι καρδιακές προσβολές δεν είναι απαραίτητα θανατηφόρες, ενώ εκείνες που παρατηρούνται σε άλλες αρτηρίες μπορεί επίσης να αποβούν θανατηφόρες, εξηγεί ο δρ Yeh.
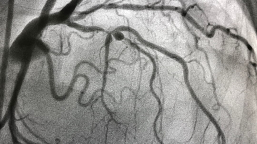
Αγγειοπλαστική: πότε και γιατί
Κάθε χρόνο, περίπου 480.000 Αμερικανοί υποβάλλονται σε αγγειοπλαστική, μια διαδικασία που αποσκοπεί στη διεύρυνση μιας στεφανιαίας αρτηρίας που εμφανίζει στένωση. Συνήθως πραγματοποιείται με χρήση ενός μικρού σωληνίσκου από μεταλλικό πλέγμα (stent), ο οποίος τοποθετείται στο εσωτερικό της αρτηρίας ώστε να την κρατάει ανοιχτή. Γύρω στα δύο τρίτα αυτών των επεμβάσεων πραγματοποιούνται σε άτομα που έχουν εμφανίσει καρδιακή προσβολή ή ασταθή στηθάγχη. «Στα άτομα αυτά, η διάνοιξη των αρτηριών με στένωση μπορεί να τους σώσει τη ζωή», δηλώνει ο δρ Yeh, ο οποίος είναι επίσης διευθυντής στο Smith Center for Outcomes Research in Cardiology στο Beth Israel Deaconess Medical Center. Η τοποθέτηση ενός stent μπορεί να αποκαταστήσει τη ροή αίματος (και οξυγόνου) στην καρδιά μέσα σε περίπου 20 λεπτά – τόσος είναι ο μέσος χρόνος διάρκειας της επέμβασης.
Στο υπόλοιπο ένα τρίτο των περιπτώσεων, οι αγγειοπλαστικές –που στην περίπτωση αυτή χαρακτηρίζονται ως μη επείγουσες ή εκλεκτικές αγγειοπλαστικές– πραγματοποιούνται συνήθως όταν τα συμπτώματα και οι εξετάσεις υποδηλώνουν πιθανή απόφραξη κάποιας στεφανιαίας αρτηρίας. «Μετά από τέτοιες διαδικασίες», αναφέρει ο δρ Yeh, «οι ασθενείς συχνά έρχονται και μου λένε: “Σας ευχαριστώ που μου σώσατε τη ζωή!”».
«Κατανοώ αυτό το συναίσθημα, γιατί δίνουμε πολύ μεγάλη σημασία στην καρδιά», προσθέτει. Ωστόσο, παρότι ένα stent μπορεί να σας βοηθήσει να αισθανθείτε καλύτερα, ανακουφίζοντας τη στηθάγχη, δεν είναι σίγουρο ότι η τοποθέτησή του λόγω σταθερής στηθάγχης θα αποτρέψει μια καρδιακή προσβολή στο μέλλον ή θα σας βοηθήσει να ζήσετε περισσότερο.
«Μπορεί να ζήσετε πολλά χρόνια, αλλά αυτό έχει μάλλον να κάνει με το πόσο καλά φροντίζετε τον εαυτό σας, παρά με το αν τοποθετήσατε stent», δηλώνει ο δρ Yeh. Αυτό σημαίνει υγιεινή διατροφή, πλούσια σε φυτικές τροφές, τακτική άσκηση, διαχείριση του στρες και όχι κάπνισμα. Τα φάρμακα –ιδίως αυτά που μειώνουν τη χοληστερόλη και την αρτηριακή πίεση– είναι επίσης ζωτικής σημασίας για τα άτομα που έχουν ή κινδυνεύουν να εμφανίσουν στεφανιαία νόσο.

