Άλλοι σκηνοθέτες διανθίζουν τις εικόνες τους με animation και ανθρώπινες ιστορίες που εμπνέουν, άλλοι σοκάρουν με ωμά πλανά και που δεν διαθέτουν ίχνος αφήγησης. Μερικές φορές, μάλιστα, προκαλούν μέχρι και λιποθυμίες (όπως για παράδειγμα, με την πρώτη προβολή του De Humani Corporis Fabrica στο φεστιβάλ των Καννών, όπου ένα μέλος του κοινού λιποθύμησε και μεταφέρθηκε στο νοσοκομείο). Το μόνο σίγουρο πάντως είναι ότι τα ντοκιμαντέρ για το ανθρώπινο σώμα μας κάνουν σοφότερους.
Από αξιομνημόνευτες παραγωγές των 90s έως «κρυμμένα» διαμάντια του Netflix, ο τρόπος που αντιλαμβανόμαστε και κινηματογραφούμε το σώμα μας μέσα στα χρόνια έχει αλλάξει δραστικά. Παραμένει όμως αξιοθαύμαστος, και αυτή είναι μία λίστα για να ταξιδέψετε στα πιο κρυφά μυστικά του οργανισμού μας.
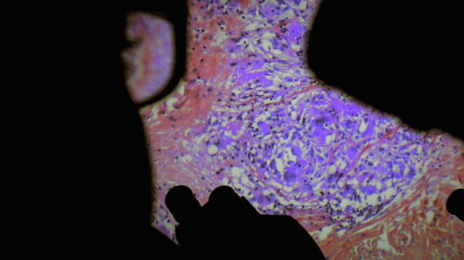
De Humani Corporis Fabrica (2022)
«Η αποτύπωση της πραγματικότητας είναι ο στόχος των ντοκιμαντέρ, αλλά η απλή αποτύπωση δεν ικανοποιεί τους Λουσιέν Καστέν-Τέιλορ, Βερένα Παραβέλ. Θέλουν να εξαναγκάσουν το κοινό σε μια σωματική, ενστικτώδη αντιπαράθεση με την πραγματικότητα – αν μπορούσαν να καταγράψουν και τη μυρωδιά, θα το έκαναν», γράφει η συντάκτρια του New Yorker για το δημιουργικό δίδυμο που βρίσκεται πίσω απ’ την ταινία. Χωρίς μουσική υπόκρουση, χωρίς αφήγηση ή στοιχεία, οι θεατές έρχονται αντιμέτωποι με την πραγματικότητα, πρόσωπο με πρόσωπο.
Αυτό λοιπόν είναι το δίωρο ντοκιμαντέρ τους (διαθέσιμο στο Cinobo), το κορυφαίο έργο τους μετά το Leviathan του 2012, τη δουλειά που τους έκανε γνωστούς. Μια αληθινή απεικόνιση τόσο του ανθρώπινου σώματος όσο και των ανθρώπων που το φροντίζουν: Χειρουργεία, μονάδες εντατικής θεραπείας και νεκροτομεία ανοίγουν τις πόρτες τους μέσα από εντυπωσιακά, ιατρικά πλάνα. (Θυμηθείτε απλά ότι κατά την προβολή της ταινίας στο φεστιβάλ των Καννών, η Παραβέλ είχε προειδοποιήσει: «Αν δεν αντέχετε, αντί να φύγετε, μπορείτε να καλύψετε τα μάτια σας»).
Γιατί να το δείτε: Για να έρθετε σε επαφή με την άγρια ομορφιά του ωμού και άκρως ρεαλιστικού σύμπαντος των δημιουργών και να εξερευνήσετε τη σκληρή συμπαντική αλήθεια των σωματιδίων του ανθρώπινου σώματος, χωρίς στεγανά. Συστήνεται σε «σκληροτράχηλους σινεφίλ».
Human: The world within (2021)
Ένα από τα μεγαλύτερα οφέλη της σύγχρονης κινηματογράφησης είναι ότι έχει κάνει την επιστήμη προσβάσιμη. Η σειρά του Netflix παρουσιάζει τα πολύπλοκα συστήματα του ανθρώπινου σώματος σε μικροσκοπικό επίπεδο, εξηγώντας τα με εφαρμογές στον πραγματικό κόσμο. Θα σας κάνει να συνειδητοποιήσετε ότι πολλά από όσα κάποτε παπαγαλίζαμε σε μια αίθουσα διδασκαλίας για το σώμα μας ήταν απλώς μια βαρετή, μη αποτελεσματική προσέγγιση. Μέσα από έξι επεισόδια, η σειρά ενσωματώνει ανθρώπους από διαφορετικές γωνιές της γης, εντυπωσιακή εικόνα, και μοντάζ, δείχνοντας το πού και το πώς υστερούν τα παραδοσιακά, εκπαιδευτικά εγχειρίδια.
Γιατί να το δείτε: Γιατί προσφέρει μια δομημένη ανάλυση βασικών λειτουργιών του σώματός μας χωρίς να κουράζει, με πραγματικά παραδείγματα από ανθρώπινες ιστορίες κάθε είδους. Η απλότητα και η πραότητα της αφήγησης είναι το δυνατό της χαρτί.
The mind explained (2019)
Δημιουργικότητα, όνειρα, αναμνήσεις. Έννοιες αφηρημένες, θολές, σχεδόν μυθολογικές. Αν είστε ονειροπόλοι, ίσως αυτή η σειρά σας προσγειώσει στην πραγματικότητα. Μέσα από εξαιρετική αφήγηση και μοναδικά animations –άλλοτε ασπρόμαυρα, άλλοτε πολύχρωμα– θα καταλάβετε πως όλα αυτά είναι απλώς λειτουργίες συγκεκριμένων περιοχών του εγκεφάλου. Σε δύο σεζόν και δέκα επεισόδια των 20 λεπτών στο Netflix, παρουσιάζονται λειτουργίες που μας αφορούν άμεσα, με τις πληροφορίες να αποδίδονται από τις Έμα Στόουν και Τζούλιαν Μουρ.
Γιατί να το δείτε: Για να κατανοήσετε το πιο μυστηριώδες όργανο σας. Να μάθετε πώς λειτουργούν τα εγκεφαλικά δίκτυα όταν προκύπτει μια νέα ιδέα, τι συμβαίνει στο μυαλό όταν κοιμάστε. Για να ερμηνεύσετε τα όνειρά σας και να ανακαλύψετε εις βάθος τον πυρήνα της ύπαρξης σας: τον εγκέφαλο.
Don’t Die: The Man who wants to live forever (2025)
Η αποστολή του είναι απλή: «Να μην πεθάνει». Ο βαθύπλουτος επιχειρηματίας Μπράιαν Τζόνσον έχει αφιερώσει κάθε πτυχή της ζωής του –και εκατομμύρια δολάρια– στο να μη γεράσει. Το ντοκιμαντέρ του Netflix καταγράφει λεπτομερώς τη ρουτίνα του και τα βήματα του στη γεμάτη αυτοπεποίθηση απόπειρα του να γίνει…αθάνατος. Έχει προκαλέσει θύελλα αντιδράσεων: άλλοι το θεωρούν διαφημιστικό τρικ, άλλοι το βλέπουν ως επικίνδυνο και αμφιλεγόμενο εγχείρημα. Ωστόσο, ο ίδιος συνεχίζει να συγκεντρώνει ακολούθους.
Γιατί να το δείτε: Για να καταλάβετε πώς το ανθρώπινο σώμα μπορεί να γίνει εργαλείο marketing, θύμα ματαιοδοξίας και όχημα για τα πιο φιλόδοξα -ή και απατηλά- όνειρα στον 21ο αιώνα.
The Human Body (1998)
Η πρώτη μεγάλη παραγωγή του BBC για τη βιολογία του ανθρώπου έχει διαχρονική αξία και θεωρείται κλασική. Προβλήθηκε πριν από 27 χρόνια και σάρωσε στα BAFTA (καλύτερη μη μυθοπλαστική σειρά, φωτογραφία, γραφικά). Με χρήση πρωτοποριακών μεθόδων για την εποχή και με ενδοσκοπικές λήψεις, time-lapse φωτογραφία, η σειρά εξηγεί την καθημερινή λειτουργία του σώματος με εντυπωσιακό τρόπο.
Γιατί να τη δείτε: Για να παρακολουθήσετε πώς εξελίχθηκε η τηλεοπτική απεικόνιση του σώματος μέσα από ένα νοσταλγικό τηλεοπτικό ταξίδι στα ’90s.
Inside the Human Body (2011)
Ο Μάικλ Μόσλει, με καθησυχαστική φωνή και υποδειγματική αφήγηση, μας οδηγεί σε μια φανταστική διαδρομή στο ανθρώπινο σώμα: από τη γονιμοποίηση μέχρι τον θάνατο. Με τέσσερα επεισόδια γεμάτα παράλληλες ιστορίες, η σειρά του BBC (2011) ξεχωρίζει για την ποιότητα και το βάθος της.
Γιατί να το δείτε: Για τα βραβεία που απέσπασε (BAFTA, υποψηφιότητα για Emmy) αλλά κυρίως για την άρτια παραγωγή που παραμένει επίκαιρη και απολαυστική ακόμη και σήμερα.
I am human (2019)
Χαρακτηρίστηκε ως το «μη μυθοπλαστικό Black Mirror». Το I Am Human εξηγεί πώς η πιο εξελιγμένη τεχνολογία μπορεί να εφαρμοστεί στο σώμα μας. Με πρόσβαση σε κορυφαίους επιστήμονες και «γίγαντες» της νευροεπιστήμης, παρουσιάζει τις καινοτόμες δυνατότητες των εμφυτευμάτων στον εγκέφαλο. Μπορεί να μείνετε με ανοιχτό το στόμα, μπορεί και να προβληματιστείτε για όσα έρχονται στο μέλλον. Όπως λέει η σκηνοθέτις Ταρίν Σάουθερν: «Το επόμενο μεγάλο σύνορο της ανθρωπότητας δεν είναι το διάστημα – είναι το εσωτερικό μας».
Γιατί να τη δείτε: Για να παρακολουθήσετε την ιστορία τριών ανθρώπων που υποβάλλονται σε επεμβάσεις υψηλής τεχνολογίας για να ανακτήσουν κίνηση, όραση και αυτονομία. Ένα ντοκιμαντέρ που κοιτά προς το μέλλον – όποια μορφή και αν αυτό αποκτά.

